舌側矯正
矯正治療しているのを他人に気付かれたくない…
歯に対するアンケートでは、「歯の色(白さ)」と「歯ならびが気になる」と答える人が圧倒的に多いですが、矯正治療になかなか踏み出せない方が多くいらっしゃいます。
矯正治療を検討中の方にとって、気になることの一つとしてメ装置が目立つモということが挙げられます。
-
Case1

職業柄、矯正治療していることを隠さなければならない。
-
Case1

まわりの人の視線が気になる。恥ずかしい。
-
Case1

卒業式、結婚式、成人式など、矯正の装置をつけている状態で写真に写りたくない。
舌側矯正とは、そんな悩みを解決するための矯正治療です。歯の裏側に矯正装置を装着するために、普通に生活をしている分にはまわりの人には装置が全く見えません。
矯正治療中もひと目を気にせずに思い切り笑いたい方、営業職の方やアナウンサーの方など、お仕事で人前に立つことが多い方などから、幅広く指示を受けている治療法です。
舌側矯正のメリットデメリット
- 審美性がよい (基本的に装置が見えない)
- 治療中の心理的ストレスを軽減できる (他人の目が気になる、恥ずかしい等)
- 社会的制約のある患者さんが矯正治療の機会を得ることができる
- 矯正治療中、側貌の変化を判断しやすい
- ※アナウンサー、CA、営業職、受付、人前に出る仕事の方等 の装置が気になる方
- 表側の矯正に比べて、装置装着初期に口の中での違和感や舌感が気になる人がいる。
- 表側の矯正に比べて、歯磨きを丁寧に行う必要がある。
- 表側の矯正に比べて、費用が多めにかかる。
費用を抑えたい方のためのハーフリンガル矯正
舌側矯正のデメリットである費用について、1つの解決策がハーフリンガル矯正です。ハーフリンガル矯正は、上の歯列のみ歯の裏側に装置を付け、下の歯列は表側に装置を付けます。
舌側矯正のデメリットである費用について、1つの解決策がハーフリンガル矯正です。ハーフリンガル矯正は、上の歯列のみ歯の裏側に装置を付け、下の歯列は表側に装置を付けます。
舌側矯正に比べて、ハーフリンガル矯正は20%ほど費用を抑えることができます。
通常、笑ったときなどに見える歯を上の歯列がほとんどです。(右の写真)費用を抑えて、舌側矯正を行いたい多くの方が、この治療法を選択しています。
前歯の歯並びだけキレイにしたい!
当院では、前歯だけ”を部分的に矯正する治療も舌側矯正で受けることが可能です。全体的な舌側矯正ではブラケットと呼ばれる装置を歯列全体に10~13個装着します。上下合わせると20~26個になります。一方、裏側の部分的な矯正では上の歯列に4~6個のブラケットを装着して、前歯の歯並びを治していきます。
裏側の部分的な矯正は、装置の個数が少ないという特徴の他、治療期間が短い、治療費を抑えることができる等のメリットがあります。部分矯正には歯並びの状態に条件があり、すべての患者さんに適応するわけではありません。

舌側矯正のプラン一覧
| スタンダード | ハーフリンガル矯正 | |
|---|---|---|
| 装置の写真 | ![]() |
![]() |
| 特徴 | 見た目がどうしても気になる !という方のための舌側矯正 | 本当は全部上下裏側でやりたいけど…、費用が気になる・・という方に。上半分だけ歯の裏側に装置を装着、下半分だけ表側に装置を装着するのハーフリンガル。 |
| 見た目 | ◎ | ◯ |
| 治療期間 | ◯ | ◯ |
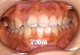
舌側矯正の症例紹介
| 治療前 | 12ヶ月後 | 18ヶ月後 | |
|---|---|---|---|
| 正面から見た 歯列の変化 |
![]() |
![]() |
![]() |
| 上の歯列の変化 | ![]() |
![]() |
![]() |
| 下の歯列の変化 | ![]() |
![]() |
![]() |
| ① 主訴 | 前歯のでこぼこ |
|---|---|
| ② 診断 | 叢生 |
| ③ 年齢 | 30歳 |
| ④ 治療内容/装置 | マルチブラケット装置、顎間ゴム、保定装置 |
| ⑤ 抜歯/非抜歯 | 非抜歯 |
| ⑥ 治療期間 | 2年8か月 |
| ⑦ 治療費 | 検査料:18,000円 分析診断料:25,000円 矯正基本管理料:1,100,000円 保定管理料:30,000円 動的治療中の処置料(治療毎):8,000円 保定経過観察中の処置料(治療毎):3,000円 |
| ⑧ リスク | 歯の移動による歯根吸収や歯周組織への為害作用を認めることがあります。ブラッシング不良によるう蝕や歯周疾患の可能性があります。保定装置の使用状況による後戻りの可能性あります。 |
舌側矯正の・・ここが気になる!よくある質問
表側矯正より舌側矯正の方が、仕上がりがよくない(キレイにならない)と聞いたのですが・・・
裏側の矯正でも、表側と同様にキレイに治りますので、ご安心下さい。ただし、舌側矯正は表側矯正と歯を動かすメカニズムが異なりますので、歯科医師の手技と経験が重要になってきます。例えば、舌側矯正の場合、歯が内側倒れやすいという特徴がありますので、それを考えず治療をしてしまうと、深い咬み合わせになってしまうことなどがあります。

表側矯正より舌側矯正の方が、治療期間が長いと聞くのですが・・・
症例数の多い経験豊富な歯科医師による正しい舌側矯正を行えば、治療期間は変わりません。表側矯正とは、歯にくっついているブラケット(装置)の距離が違います。そのために力学的なコントロールが難しくなりますが、しっかり理解した上で治療を行えば、治療期間が伸びてしまうなどのことはありません。

どうしようか迷われている方、説明を詳しく聞きたい方は、相談を行っておりますのでお気軽にご相談下さい。
















