こんにちは😊あかつき矯正歯科クリニック歯科衛生士です🪥
日々、気温の変化が大きいですね😌皆さん体調など崩されていませんか?
春は新生活をスタートされる方も多いかと思います🌷
何か新しい事を始めるひとつとして、矯正治療をお考えの方もいらっしゃるかと思います✨
今回は、装置の種類とその特徴についてお話させていただきたいと思います💁♀️
当院ではマルチブラケット装置の種類が6種類程ございます😌
メタルブラケット
金属製の装置です。費用はリーズナブルですが他の装置と比べると目立ちやすいというデメリットがあります。

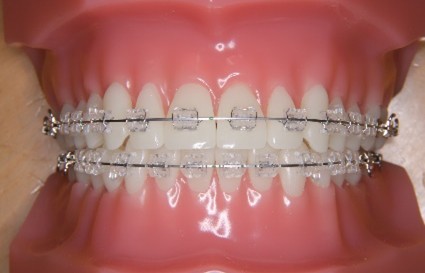
クリアブラケット
プラスチック製です。歯に近い色であるため目立ちにくく、費用的にもそれほど上がらないので人気です。

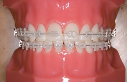
セラミックブラケット
特殊なセラミックでできた透明な装置です。クリアブラケットよりさらに目立ちにくいです。汚れが着きにくく、強度もあり壊れにくいです。こちらも人気があります✨

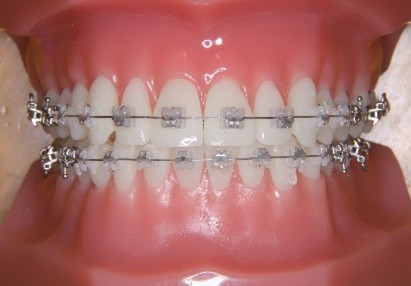
セルフライゲーションブラケット
ブラケット自体に小さなふたがついているのが特徴です。摩擦が少なく違和感や痛みを感じにくいです。

ハーフリンガルブラケット
上あごには裏側に装置を装着し、下あごには表側にセラミックブラケットを着けるタイプです。目立ち具合が軽減される上、上下とも裏側で治療を行うよりリーズナブルです。

フルリンガルブラケット
上下とも裏側に装着します。費用は上がりますが、ほとんど見えないのが最大のメリットになります。

マウスピース型装置
透明のマウスピース型の装置です。目立ちにくいうえ、取り外しするタイプなので、歯磨きしやすいです。1日22時間程度、装着します。

このように、当院では多くの装置をご用意しているため、患者様のニーズに合わせて治療を行うことが可能になるかと思います😊
治療をお考えの方は、ぜひ無料の初診相談にお越しください😊



